• Alinhadores Ortodônticos em São Paulo - Clínica Aggio

Alinhadores Ortodônticos

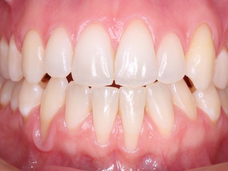
Transforme o seu sorriso de forma discreta e confortável! Na Clínica Aggio, oferecemos alinhadores ortodônticos personalizados, uma solução moderna e quase invisível para corrigir dentes desalinhados. Nossa equipe está pronta para acompanhar cada etapa do seu tratamento, garantindo resultados eficazes e um sorriso que combina com você.

2
4
1
3
6
5

Alinhadores Ortodônticos

O que são Alinhadores Ortodônticos?

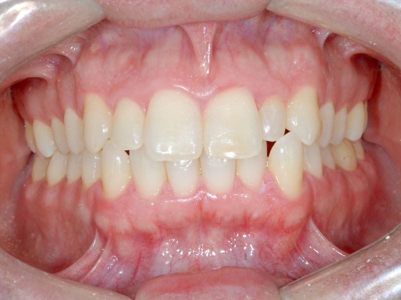
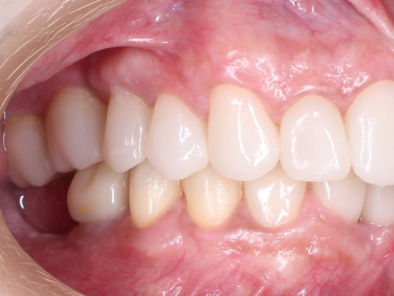
Os Alinhadores Ortodônticos são dispositivos transparentes, removíveis e personalizados que corrigem problemas de alinhamento dentário. Diferentemente dos aparelhos fixos tradicionais, os Alinhadores Ortodônticos são feitos sob medida para cada paciente, promovendo uma movimentação gradual e precisa dos dentes. Na Clínica Aggio, em Moema, São Paulo, somos especialistas em tratamentos com Alinhadores Ortodônticos, proporcionando soluções estéticas e confortáveis para quem busca um sorriso alinhado.


Quem Pode Usar Alinhadores Ortodônticos?

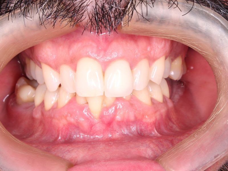
Os Alinhadores Ortodônticos são indicados para adolescentes e adultos que desejam corrigir problemas dentários como apinhamento, espaços entre os dentes, mordida cruzada, sobremordida ou prognatismo. Durante a consulta na Clínica Aggio, avaliamos cada caso para garantir que os Alinhadores Ortodônticos sejam a melhor opção para você. Além disso, os Alinhadores Ortodônticos são ideais para quem busca discrição e praticidade no tratamento ortodôntico.

Clínica Aggio - Consulta Odontológica Particular

Alinhadores Ortodônticos

Alinhadores Ortodônticos

Vantagens dos Alinhadores Ortodônticos

Os Alinhadores Ortodônticos apresentam diversas vantagens em relação aos aparelhos tradicionais. Entre os principais benefícios estão:

Estética: Por serem transparentes, os Alinhadores Ortodônticos são praticamente invisíveis.

Conforto: Produzidos em material suave, os Alinhadores Ortodônticos evitam ferimentos na boca.

Removíveis: É possível retirar os Alinhadores Ortodônticos para comer e realizar a higiene bucal.

Higiene facilitada: Diferente dos aparelhos fixos, os Alinhadores Ortodônticos permitem uma limpeza dental mais eficiente.

Na Clínica Aggio, utilizamos a mais alta tecnologia para garantir que os Alinhadores Ortodônticos ofereçam os melhores resultados de forma rápida e eficaz.


Benefícios dos Alinhadores Ortodônticos

Os Alinhadores Ortodônticos não apenas corrigem o alinhamento dos dentes, mas também trazem outros benefícios importantes:

Melhoram a mastigação, contribuindo para a saúde digestiva.

Ajudam na articulação mandibular, reduzindo dores na região da face.

Proporcionam mais confiança e autoestima com um sorriso harmonioso.

Facilitam a higienização bucal, prevenindo cáries e doenças gengivais.

Na Clínica Aggio, oferecemos tratamentos com Alinhadores Ortodônticos personalizados, ajustados às suas necessidades para maximizar esses benefícios.


Por que Escolher a Clínica Aggio?

A Clínica Aggio é referência em Alinhadores Ortodônticos em Moema, São Paulo. Nosso diferencial está na combinação de tecnologia de ponta, equipe qualificada e um atendimento personalizado. Escolher a Clínica Aggio para o seu tratamento com Alinhadores Ortodônticos é garantir resultados rápidos, segurança e conforto durante todo o processo. Com anos de experiência no mercado, temos como objetivo transformar sorrisos com eficiência e dedicação.


Solicite um Orçamento para Alinhadores Ortodônticos

Se você busca um tratamento moderno, estético e eficaz para corrigir o alinhamento dos seus dentes, entre em contato com a Clínica Aggio, em Moema, São Paulo, e solicite um orçamento para Alinhadores Ortodônticos. Nossa equipe de especialistas está pronta para atender você com tecnologia de ponta, cuidado e os melhores resultados. Agende sua consulta agora mesmo e experimente os benefícios dos Alinhadores Ortodônticos.


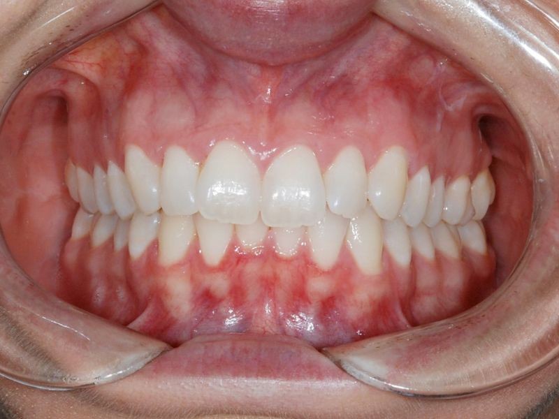
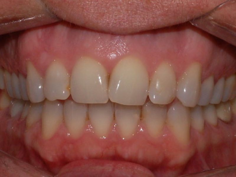
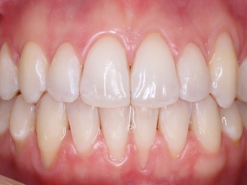
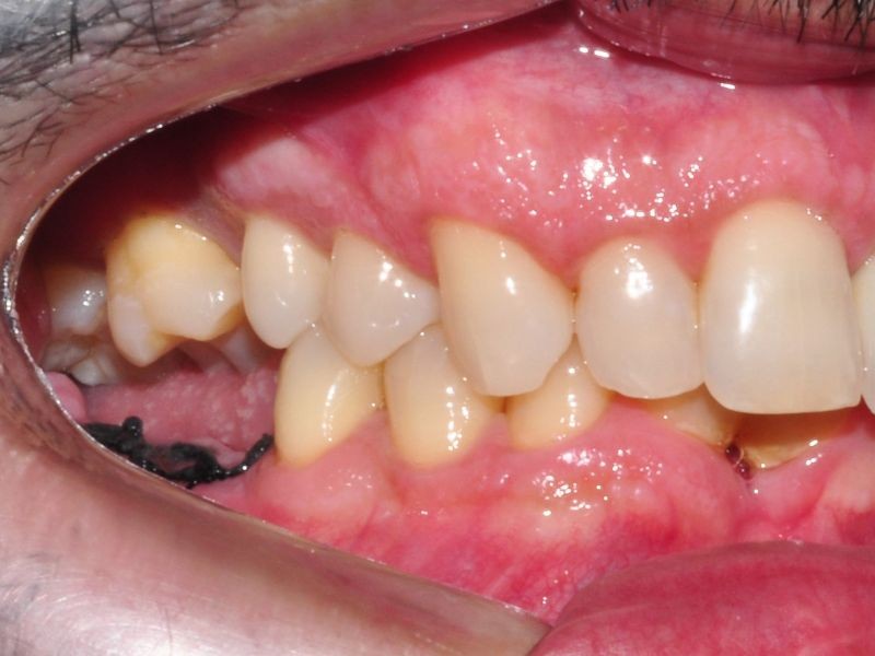
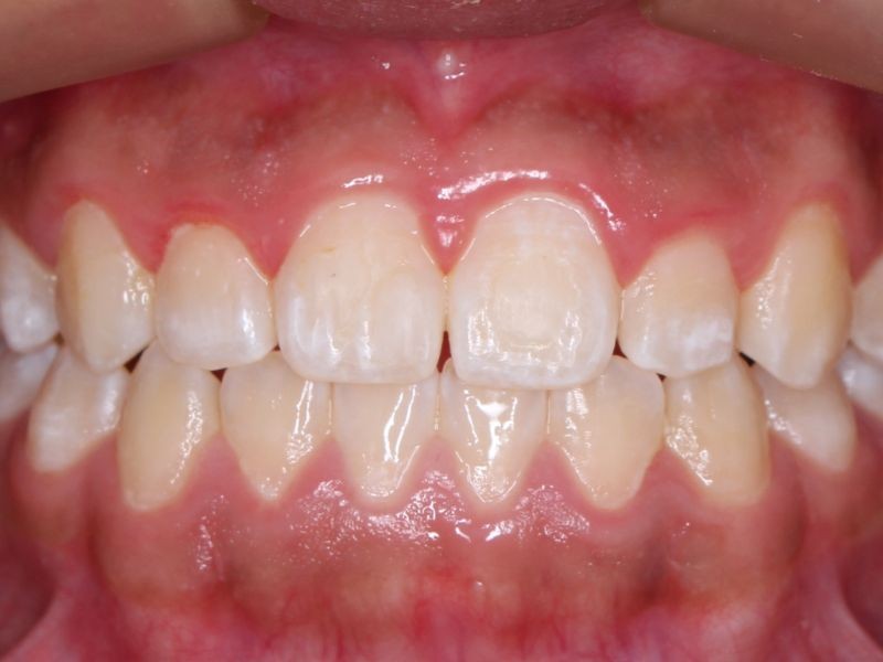
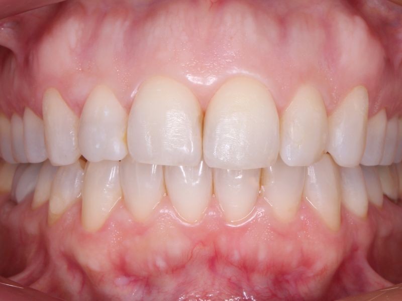
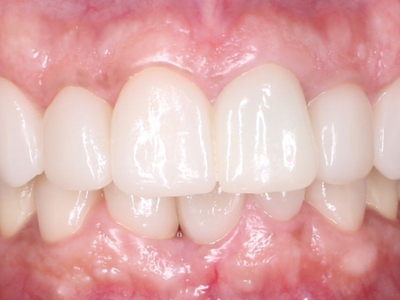
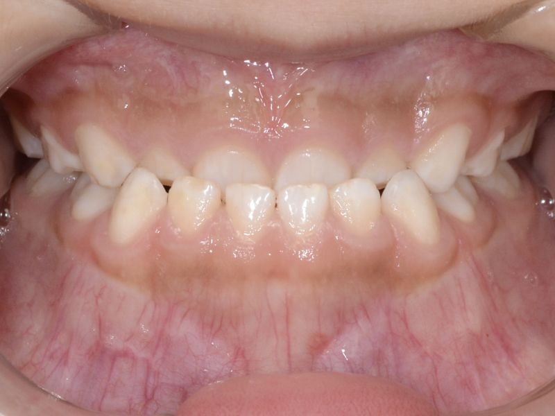
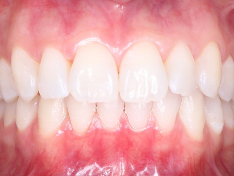
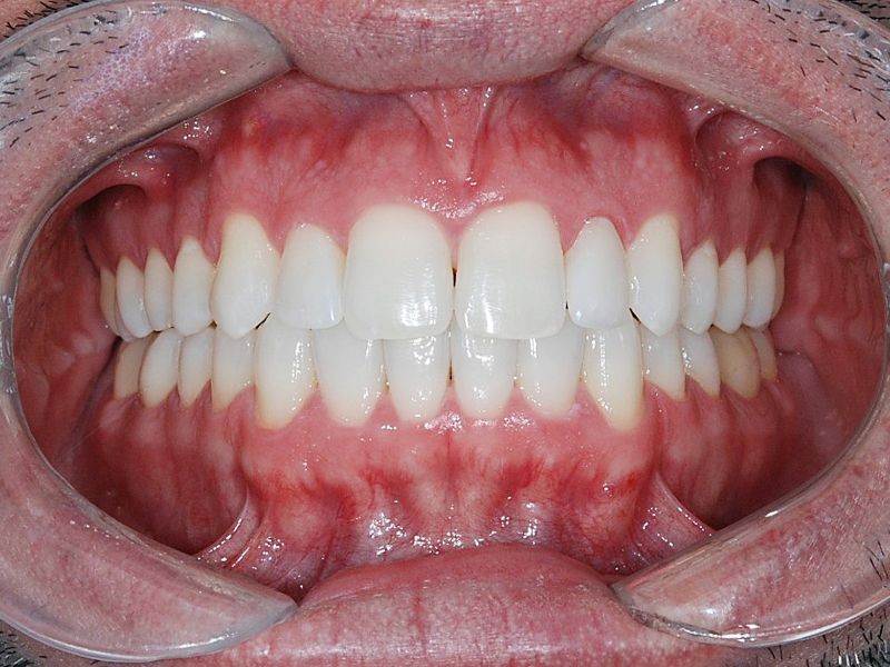
Antes e depois

Alinhadores Ortodônticos



Conheça nossos alinhadores ortodônticos



Invisalign
Tratamentos Odontológicos

Invisalign

Corrija o alinhamento dos seus dentes com Invisalign, o método ortodôntico discreto e confortável. Com alinhadores transparentes, você transforma seu sorriso sem a aparência de aparelhos metálicos. Agende sua consulta na Clínica Aggio e descubra como o Invisalign pode transformar seu sorriso!

SureSmile
Tratamentos Odontológicos

SureSmile

Alinhe seu sorriso com a precisão e o conforto do SureSmile. Com tecnologia avançada e alinhadores personalizados, o SureSmile oferece uma alternativa discreta e eficaz para corrigir desalinhamentos dentários. Agende sua consulta na Clínica Aggio e descubra como o SureSmile pode transformar seu sorriso!

Clínica Aggio - Clínica Odontológica Digital em São Paulo

Oferecemos qualidade excepcional, sofisticação e atendimento personalizado, com agendamentos rápidos e eficientes.

A Clínica Aggio - Clínica de Odontologia Digital em São Paulo é mais que uma clínica. Trata-se de um conceito único de Odontologia Moderna e Humanizada. Fundada há 30 anos pela Dra. Daniela Aggio, palestrante internacional, mentora, cirurgiã-dentista e empresária, que mantém o propósito de transformar a experiência do paciente por meio da tecnologia e acolhimento.

Possui uma equipe de profissionais diferenciados que possibilita o atendimento integral. Com todas as especialidades odontológicas, tecnologia e equipe de apoio, apresenta infraestrutura diferenciada no bairro de Moema, São Paulo. Venha conhecer a Clínica Aggio - Clínica de Odontologia Digital em São Paulo!


Saiba Mais
Clínica Odontológica Digital em São Paulo - Clínica Aggio

Buscando serviços de qualidade e segurança para seus dentes?

Na Clínica Aggio você garante o melhor para o seu sorriso.

Agendar Consulta

© Copyright 2026. DIVIA Marketing Digital. Todos os Direitos Reservados

Agência de Marketing Digital
Ligue e Agende
Agende pelo WhatsApp

Utilizamos cookies essenciais e tecnologias para oferecer melhor experiência e conteúdos personalizados, de acordo com a nossa Política de Privacidade. Ao continuar navegando, você concorda com estas condições.


Li e aceito as políticas de privacidade.